Tecnología

"Experimentación sexual": tuvieron que operar a un adolescente para sacarle un cable USB del pene

"La experimentación y la gratificación sexual, así como los trastornos mentales subyacentes, se consideran las principales causas de retención de cuerpos extraños en la uretra y la vejiga", explicaron los investigadores que reportaron el caso.
Por Telefe Rosario

"Experimentación sexual": tuvieron que operar a un adolescente para sacarle un cable USB del pene | Tecnología
Tecnología: "Experimentación sexual": tuvieron que operar a un adolescente para sacarle un cable USB del pene

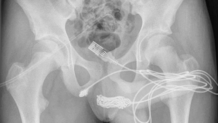
La madre llevó a su hijo de 15 años al hospital porque sentía gran dolor y presentaba sangre en su orina.

Cuando la mujer salió de la sala para que lo atiendan los profesionales, el adolescente les contó que se había introducido por el pene un cable usb  como "experimentación sexual".

El caso ocurrió el año pasado y derivó en un informe médico para medios especializados.

"Se descubrió que los dos puertos distales del cable USB sobresalían del meato uretral externo, mientras que la parte media del cable anudado permanecía dentro de la uretra. El paciente era un adolescente sano y en buena forma física sin antecedentes de trastornos de salud mental", indicaron los investigadores en el reporte que publicó ScienceDirect.com.

De acuerdo con esa fuente, los profesionales intentaron extraer el cable con una varilla de metal pero, debido a la gran cantidad de nudos que se habían formado, tuvieron que operar al menor.

La cirugía consistió en realizar una inserción entre los genitales y el ano del chico, para acceder a través de catéteres.

"Se realizó una incisión penoescrotal longitudinal sobre el cuerpo extraño palpable y se realizó una disección cuidadosa a través de los tejidos más profundos, dividiendo el músculo bulboesponjoso", señalaron los responsables de la intervención.

Y añadieron: "Ambos extremos del cable se sacaron con éxito a través del meato uretral externo".

Luego de la operación, el joven se recuperó, fue dado de alta y a las dos semanas le retiraron los catéteres.

Ahora sigue en una etapa de monitoreo por posibles daños a largo plazo ya que, según el informó, insertar objetos extraños en la uretra puede causar dolor al orinar, aparición de sangre en la orina, erecciones dolorosas y retención de orina.

Al referirse a los riesgos de estos casos, el reporte mencionó algunos otros objetos que suelen insertarse los pacientes, como agujas, alfileres y cáscaras de pistacho.

"La experimentación y la gratificación sexual, así como los trastornos mentales subyacentes, se consideran las principales causas de retención de cuerpos extraños en la uretra y la vejiga", explicaron los investigadores.

Y agregaron: "Dependiendo del mecanismo de inserción, y del tamaño y la forma del objeto, pueden causar complicaciones tardías, principalmente infecciones recurrentes del tracto urinario, estenosis o falsos conductos uretrales y perforación de la vejiga, que incluso pueden requerir procedimientos reconstructivos mayores para restaurar la anatomía".

.