Información General

Investigan el caso de un hombre que se curó de cáncer tras contagiarse coronavirus

El paciente, además, estaba recibiendo hemodiálisis por una insuficiencia renal terminal tras haber recibido un trasplante de riñón que, a la postre, resultó fallido.
Por Telefe Rosario

Investigan el caso de un hombre que se curó de cáncer tras contagiarse coronavirus | Información General
Información General: Investigan el caso de un hombre que se curó de cáncer tras contagiarse coronavirus

La revista British Journal of Haemathology publicó a primeros de enero un caso clínico de lo más curioso.

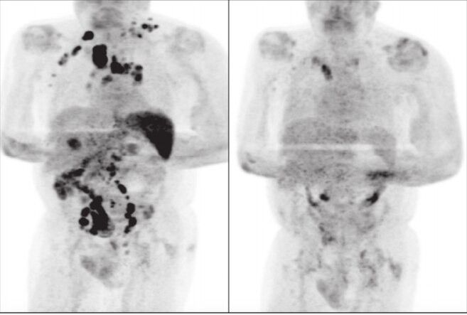
Se trata de un paciente afectado por un linfoma de Hodking que remitió tras ser infectado por el virus SARS-CoV 2, causante del covid-19.

La publicación la firman Sarah Challenor y David Tucker, pertenecientes ambos al departamento de hematología del Royal Cornwall, en Reino Unido, y en ella relatan el caso de un paciente, un hombre de 61 años, que había sido remitido a su departamento por adenopatías progresivas, o lo que es lo mismo, por una progresiva inflamación de los ganglios linfáticos, y por perdida de peso.

El paciente, además, estaba recibiendo hemodiálisis por una insuficiencia renal terminal tras haber recibido un trasplante de riñón que, a la postre, resultó fallido.

Al hombre se le hizo una biopsia en uno de los ganglios inflamados en la zona supraclavicular y los resultados confirmaron que sufría un linfoma de Hodgkin: un tipo de cáncer que afecta a células sanguíneas, como la leucemia, pero en este caso a los linfocitos, un subtipo de glóbulos blancos muy importantes que forman parte de nuestras “defensas” y que se originan en el sistema linfático.

Poco después del diagnóstico el hombre volvió a ingresar en el hospital aquejado de dificultad para respirar y se le diagnosticó una neumonía por SARS-CoV - 2 tras dar positivo en la prueba PCR.

Tras 11 días hospitalizado el paciente superó la enfermedad y fue dado de alta para pasar la convaleciencia en casa. Los autores del caso afirman que durante su tratamiento no se le administraron corticosteroides ni inmunoquimioterapia para tratar su linfoma.

Cuatro meses más tarde, durante una exploración, los médicos advirtieron que la inflamación de sus ganglios al tacto había remitido. Le hicieron una tomogarafía y advirtieron una remisión generalizada del linfoma.