Rosario
Actualidad
Política
Política
Economía
Deportes
MÁS INFO
Curiosidades
Internacionales
Espectáculos
Los datos que necesitás
Contenido patrocinado
Vivo
Tecnología
Marte acumula siete toneladas de basura humana en su superficie
Insólita tarea: les pidió a sus alumnos conseguir la figurita de Cristiano Ronaldo
Científicos españoles descubrieron que la melatonina es clave para la formación de nuevas neuronas
China anunció la primera clonación de un lobo ártico
Seis universidades de la Argentina se encuentran entre las 50 mejores de América Latina
Se entregan los Premios Científicos Fundación Bunge y Born a referentes en nanociencias
Denunció a una vecina por maltrato animal, pero se equivocó y desató un escándalo
Video: una nena se quedó sin pareja en un acto escolar y su papá bailó con ella
Vacunarse contra el coronavirus tras la ovulación evitaría alteraciones menstruales
Gana 20.000 dólares al mes por mostrar sus axilas sin depilar en OnlyFans
Así es el complejo universitario en el que estará la Selección argentina en el Mundial de Qatar
Quevedo pifió en vivo y reavivó un viejo debate: autotune ¿si o no?
Video: puso a “manejar” a su perro y terminó detenido
Video: quedó atrapada en una máquina del gimnasio y llamó al 911
Argentina será sede de dos congresos relacionados con la donación y el trasplante de órganos
Proponen aplicar tecnología Blockchain para el pago de planes sociales
Hallan una "extraña" criatura azul en las profundidades del Caribe
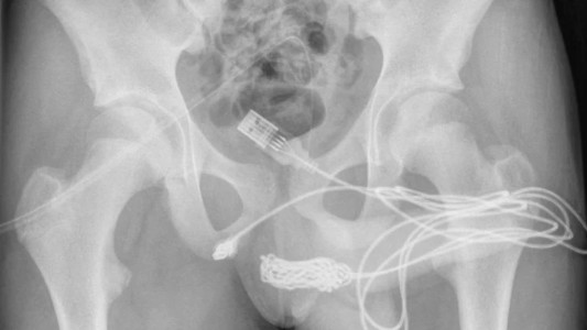
"Experimentación sexual": tuvieron que operar a un adolescente para sacarle un cable USB del pene
WhatsApp habilitó la función para ocultar el "en línea"
Los audios virales de un nene celoso porque su tío jugó con otro niño
Una obra generada con inteligencia artificial ganó un concurso de bellas artes en Estados Unidos
Tuneó su Falcon con "Los Cazafantasmas"
Video: el momento en el que un bólido ilumina de verde el cielo de Córdoba
Un pasajero filmó el incendio del motor de un avión mientras volaba
Viruela del mono: en septiembre empezarán a distribuir la vacuna en América Latina
Invitados de honor: celebró sus 89 años con sus mascotas
Video: en dos ruedas y sin respiración
Día internacional de Hashtag: ¿Cuál es el origen?
Los dientes y prótesis en mal estado aumentan el riesgo de cáncer bucal
Hallaron un mini dinosaurio en la Patagonia
« Anterior
1
2
3
4
5
6
7
8
9
10
…
84
Siguiente »