"Escroto silbante": tras una operación, le sonaban los testículos y casi le cuesta la vida

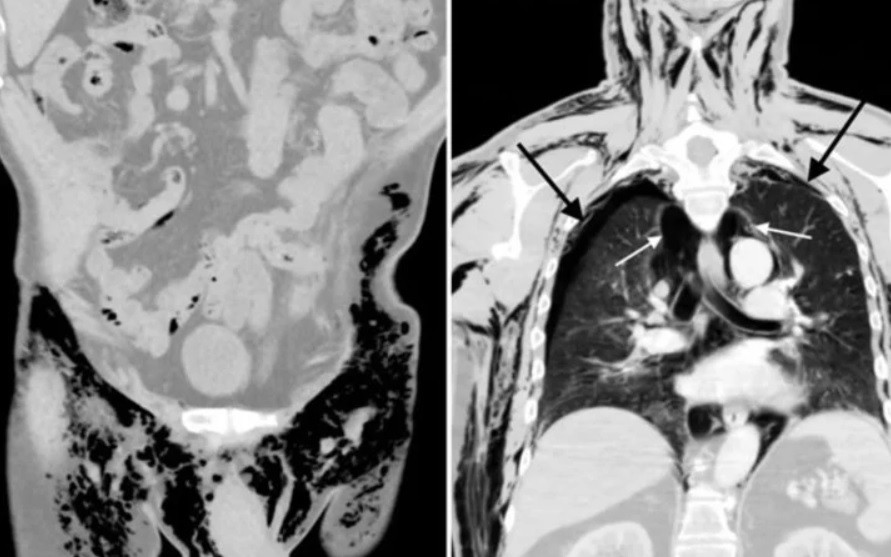
Análisis posteriores le detectaron un neumoescroto silbante, neumotórax bilateral, neumomediastino y enfisema subcutáneo.


01 jul, 2022 09:44
"Escroto silbante": tras una operación, le sonaban los testículos y casi le cuesta la vida | Internacionales
Internacionales: "Escroto silbante": tras una operación, le sonaban los testículos y casi le cuesta la vida

Tenía el rostro hinchado, le faltaba el aire y su escroto emitía un silbido. Con esos síntomas preocupantes se presentó un hombre de 72 años al hospital en Ohio (Estados Unidos).

Tras varios estudios, los médicos llegaron al diagnóstico: se trataba de un neumoescroto.

La condición del "escroto silbante" suele deberse a traumatismos en la zona testicular, pero el paciente no recordaba haber tenido ninguno.

Pero contó que se había sido sometido a una operación para tratar una epididimitis, una inflamación del conducto tubular que une los testículos y los conductos deferentes, que a su vez derivan en los conductos eyaculadores.

Al profundizar en su caso, del que informó el American Journal of Case Reports, descubrieron que en esa intervención se le realizó una incisión en el escroto y un drenaje.

Si bien no tuvo complicaciones al principio, tiempo después se le detectó un neumoescroto silbante, así como otras patologías derivadas de la acumulación de aire en el tórax.

Los análisis al paciente arrojaron también un neumotórax bilateral, una acumulación de aire en una cavidad entre los pulmones y el tórax conocida como cavidad pleural.

Asimismo, le detectaron neumomediastino, que se debe también a una acumulación del aire, esta vez en una cavidad ubicada entre los dos pulmones.

Y, por último, le diagnosticaron un enfisema subcutáneo a raíz de la penetración de aire en los tejidos ubicados bajo la piel.

Tras la identificación de esas condiciones, el hombre fue tratado con tubos con los que se drenó el exceso de aire del pecho, lo que alivió también el del escroto.

Luego debió someterse a una nueva intervención quirúrgica para devolverlo a la normalidad.

De acuerdo con los médicos, se encuentra en observación y no se descarta que tengan que extirparle los testículos si se complica su evolución.